아침에 일어났을 때 손가락이 굳어 있는 듯한 느낌,
계단을 오를 때 무릎에서 느껴지는 뻐근함.
혹시 그 신호, 관절염 초기증상 아닐까요?
우리는 흔히 관절의 불편함을
단순한 노화 현상으로 여깁니다.
하지만 이처럼 가볍게 지나치는 순간,
관절염은 조용히 뿌리를 내립니다.
특히 관절염 초기증상은 증상이 분명하지 않아
스스로 인지하기까지 오랜 시간이 걸리며,
그 사이 관절 연골은 점차 손상되고
일상은 제한되기 시작하죠.
오늘은 대표적인 관절염 증상부터
관절염 초기증상 진단법, 생활 속에서
실천할 수 있는 관리법까지 정리해 드립니다.
지금 느끼는 뻐근함이 단순한 근육통인지,
아니면 이미 시작된 관절염 초기증상인지
한 번 점검해보고 싶다면,
아래 짧은 영상으로 확인해 보세요.

≣ 목차
관절염 초기증상, 시작은 매우 조용하게
관절염은 특정 연령대에만 나타나는 병이 아닙니다.
어린 나이에도 발생할 수 있으며, 특히 40~60대 중장년층은 주요 위험군입니다.
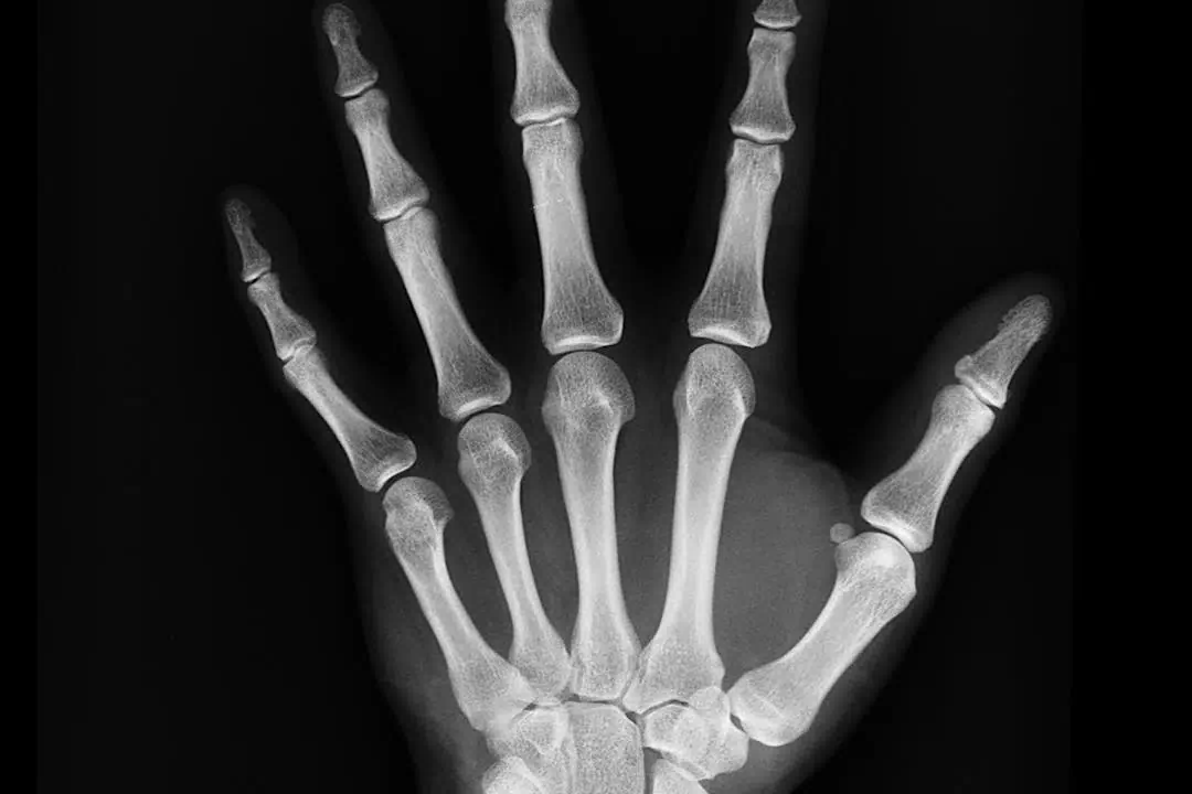
무릎, 손가락, 고관절 등은 반복적인 사용과 체중 부담으로 인해 관절염 초기증상이 가장 먼저 드러나는 부위죠.
자주 나타나는 초기증상은 다음과 같습니다.
- 아침 기상 직후 관절이 굳은 듯 뻣뻣한 느낌
- 무릎을 구부릴 때마다 ‘우두둑’ 소리 발생
- 계단을 오르거나 내릴 때마다 느껴지는 시큰거림
- 손가락 끝의 붓기와 감각 저하
- 걷거나 일어날 때 느껴지는 관절의 묵직한 통증



이러한 관절염 증상은 일상적인 피로로 착각하기 쉽지만, 지속되거나 반복된다면 관절염 초기증상일 가능성이 높습니다. 특히 연골이 마모되는 골관절염, 염증이 주요 원인인 류마티스 관절염 등 다양한 관절염 유형의 시작점은 대부분 이처럼 경미한 초기증상입니다.
단순한 증상이 하루 이틀로 그치지 않고 반복되거나 점점 심해진다면, 반드시 관절염 검사를 고려해야 합니다.
이처럼 초기의 미세한 증상이 관절염의 예고 신호일 수 있기 때문이죠.



관절염 초기증상을 쉽게 구분하는 방법
관절염으로 인한 통증은 일반적인 근육통과는 구별됩니다.
특히 관절염 초기증상은 대칭적인 통증, 아침 강직 등의 특징이 있어 다음 표를 참고해 본인의 상태를 점검해 볼 수 있습니다.
✅ 부위별 초기증상 비교표
| 부위 | 관절염 초기증상 예시 |
| 손가락 | 아침에 관절이 굳고 통증 지속, 붓기 동반 |
| 무릎 | 계단에서 힘이 빠짐, 굽힐 때 통증 발생 |
| 어깨 | 팔을 들어 올릴 때 통증 및 움직임 제한 |
| 발가락 | 신발 신을 때 불편함, 걷기 시 통증 |
| 고관절 | 앉았다 일어날 때 통증, 다리 쪽 무게 이동 어려움 |
이러한 초기증상이 반복된다면 단순 불편함이 아닌 관절염의 초기 증상으로 의심해 볼 필요가 있습니다.
특히 양쪽 관절에 동시에 발생하는 관절염 초기증상은 류마티스 관절염 가능성도 있으므로 빠른 진단과 조치가 중요합니다.
서울아산병원의 관절염 진단 기준과 정의도 참고해 보세요.



관절염 초기증상 진단을 위한 체크 포인트
정확한 관절염 진단을 위해선 자가 확인과 병원 검사가 병행되어야 합니다.
다음 항목을 통해 본인의 초기증상을 체크해 보세요.
📌 자가 체크리스트
- 아침에 손목이나 무릎이 굳어 1시간 이상 움직이기 불편하다
- 날씨가 흐릴 때마다 관절이 쑤시거나 무겁게 느껴진다
- 병뚜껑을 열거나 의자에서 일어나는 동작이 어렵다
- 특정 관절을 사용할 때마다 일정 부위가 반복적으로 아프다
- 손가락이나 무릎이 자주 붓고 눌렀을 때 열감이 느껴진다
- 오래 걷거나 무리하면 관절 주변에서 통증이 며칠간 지속된다
✔ 2개 이상 해당된다면, 전문적인 관절염 진단이 필요합니다.
조기에 발견된 관절염 초기증상은 생활 습관 관리와 간단한 치료만으로도 진행을 막을 수 있습니다.
특히 젊은 층에서 무시되기 쉬운 관절염 증상도 조기에 대처하면 오래 지속되지 않고 빠르게 회복이 가능합니다.



📌 대표 병원 검사
- X-ray, MRI 등으로 관절 구조 확인
- 혈액검사를 통한 염증 수치 및 류마티스 인자 분석
- 관절 초음파로 연골 손상 여부 확인
- 가동 범위 검사 및 기능성 테스트



관절염 초기증상에 도움이 되는 생활습관
관절염 관리의 핵심은 바로 꾸준한 실천입니다.
생활 속에서 실천 가능한 루틴 하나하나가 관절염 증상 완화에 중요한 역할을 합니다.
📌 도움이 되는 습관
- 염분 줄인 식단과 항염 식품 섭취
- 주 3회 이상 저강도 유산소 운동 (걷기, 수중운동 등)
- 수면 습관 개선 (6~8시간 숙면)
- 자세 교정 및 관절 무리 방지
- 관절 보호대 착용, 스트레칭 루틴 실천
- 물을 충분히 섭취하고 체내 염증 반응 줄이기
- 하체 근력 강화 운동으로 관절 부담 분산시키기



📌 피해야 할 행동
- 통증을 참고 무리한 운동 지속
- 약물 복용만으로 해결하려는 태도
- 관절통을 ‘그냥 피곤해서 그렇겠지’라고 넘기기
- 비만 또는 과체중 방치 (관절에 지속적 부담)
- 초기증상을 방치하고 병원 방문을 미루는 습관
이처럼 관절염 초기증상 단계에서의 습관 개선은 장기적인 치료보다 훨씬 효율적이고, 더 나아가 관절염 증상 자체를 예방하는 효과도 큽니다.
실제 진단과 초기 관리 방법을 정리한 영상도 꼭 참고해 보세요.



마무리: 내 몸이 보내는 작은 신호를 무시하지 마세요
우리가 자주 느끼는 작은 관절 통증, 그건 단순한 노화도, 피로도 아닐 수 있습니다.
관절염 초기증상은 작은 뻐근함으로 시작해, 치료 시기를 놓치면 일상 전체를 뒤흔드는 질환이 됩니다.
증상을 조기에 인지하고 대응하는 것이 가장 효과적인 예방법이며, 건강한 노후의 시작점이 됩니다.
✔ 지금 느끼는 불편함은 당신의 몸이 보내는 중요한 신호입니다
✔ 오늘, 이 글을 통해 스스로 점검하고 행동에 옮기는 것만으로도
✔ 평생의 관절 건강을 지켜낼 수 있습니다
✔ 지금, 관절염 증상을 외면하지 마세요.
내 몸의 목소리에 귀 기울이는 오늘이 되시길 바랍니다.
📌 함께 보면 좋은 글
골다공증에 좋은 음식과 피해야 할 음식
한 번 약해지기 시작한 뼈는 조용히,그러나 확실하게 무너집니다.나이가 들수록 골밀도는 자연스럽게 감소하고,우리가 매일 밟는 땅조차 위협이되는 순간이 찾아옵니다. 골다공증에 좋은 음식
wishberryz.billieking1004.com
고지혈증 증상 및 관리법
현대인의 피 속에서 조용히 자라는 문제,고지혈증 증상은 더 이상 중년의문제만이 아닙니다.눈에 띄는 통증이 없다고 해서 안심했다가는,어느 날 갑작스럽게 심혈관 질환으로이어질 수 있습니
wishberryz.billieking1004.com
대상포진 초기증상 바로알기
한쪽 몸에 찌릿한 통증이 스며드는 순간,몸이 보내는 비상 신호를 놓치고 있는 건 아닐까요?대상포진 초기증상은 마치 피로처럼 시작돼우리를 속이고 조용히 퍼져갑니다. 문제는 72시간, 단 이
wishberryz.billieking1004.com






'건강&웰빙' 카테고리의 다른 글
| 우울증 증상 총정리 (0) | 2025.04.23 |
|---|---|
| 염증수치 낮추는 방법 완벽정리 (0) | 2025.04.22 |
| 불면증 해결하려면 이 방법부터 바꿔보세요 (0) | 2025.04.21 |
| 녹내장 초기증상 완벽정리✅ (0) | 2025.04.20 |
| 백내장 증상 완벽정리 (1) | 2025.04.20 |